
안산투명교정, 다 똑같은 게 아니다? 치의학 박사가 설명드립니다
반갑습니다. 안산투명교정 치의학 박사 장영준입니다. 아마 이 글을 읽고 있다면, 흔히 말하는 ‘철길’을 남들에게 보여주기 싫은 분들이 대부분일 텐데요. ‘철길’이란, 브라켓 교정 장치가 마치 철로

반갑습니다. 안산투명교정 치의학 박사 장영준입니다. 아마 이 글을 읽고 있다면, 흔히 말하는 ‘철길’을 남들에게 보여주기 싫은 분들이 대부분일 텐데요. ‘철길’이란, 브라켓 교정 장치가 마치 철로

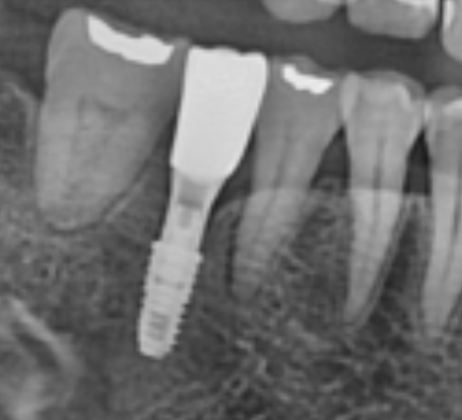
반갑습니다. 치의학 박사 장영준입니다. 이 글을 클릭하셨다면, 대부분 임플란트 수술을 앞두고 계실 것 같습니다. 환자분들 중에서도 음식을 잘게 부수는 기능을 하는 구치부(어금니쪽)에 수술을 하실 수도 있고,

반갑습니다. 치의학 박사 장영준입니다. “임플란트를 앞두고 있는데 너무 무서워서.. 잠자듯이 편안하게 수술할 수는 없나요?” 아마 이 글을 읽어주시는 분들은 새로운 치아를 만들기 위해 임플란트 수술을 앞두고


반갑습니다. 치의학 박사 장영준입니다. 임플란트 수술을 앞둔 분이라면, ‘뼈이식’이라는 단어를 한 번쯤은 들어보셨을 것이라고 생각됩니다. 뼈이식은 쉽게 말해 임플란트 픽스쳐(나사)를 심을 때, 잇몸뼈를 더욱 단단하게 보충하기


반갑습니다. 치의학 박사 장영준입니다. “이가 너무 아파서 치과에 갔는데 검진 결과 별 이상 없어 보인다고 해서.. 도대체 왜 아픈 걸까요?” 만약 엑스레이와 구강 관찰을

반갑습니다. 치의학 박사 장영준입니다. “저희 부모님 기저질환이 있는데.. 임플란트 받으실 수 있나요?” 임플란트 수술을 받으시는 분들은 나이대가 높은 편인 경우가 많습니다. 그래서 기저질환이 있는

반갑습니다. 치의학 박사 장영준입니다. “이가 아파서 치과에 갔는데 이미 염증이 심할 대로 심해서 재신경치료로도 못 살린다고 하네요.. 정말 방법 없을까요?” 치과에 내원해서 위와 같은

안녕하세요. 안산치과 치의학 박사 장영준입니다. “치아가 많이 없어서 임플란트 해야 되는데.. 빠진 개수대로 임플란트를 심어야 되나요?” 어르신들의 경우, 틀니를 많이 쓰시다가 불편감에 결국 임플란트 수술을 하기로
안녕하세요. 안산치과 치의학 박사 장영준입니다. “잇몸에 물집, 염증? 비슷한 게 생겼어요. 그냥 기다리면 좋아질까요?” 아마 위와 같은 이유로 검색하다가 저희 블로그를 찾아주신 것 같습니다.

반갑습니다. 안산충치치료 치의학 박사 장영준입니다. “충치가 생겨서 치료받으려는데 저 많이 때워야 되나요?” 환자분들이 정말 많이 여쭤보시는 질문입니다. 아무래도 우리의 치아는 한 번 다듬어내면