안녕하세요.
안산치과
치의학 박사 장영준입니다.
“치아가 많이 없어서 임플란트 해야 되는데..
빠진 개수대로 임플란트를 심어야 되나요?”
어르신들의 경우, 틀니를 많이 쓰시다가 불편감에 결국 임플란트 수술을 하기로 결정하시는 경우가 많습니다.
이때 많은 분들이 위와 같은 질문을 하시는데요. 결론부터 말씀드리면, 그런 경우도 있지만 대부분 그렇지 않은 경우가 더 많은데요.
결론부터 말씀드리면, ‘브릿지’ 형태로 보철물을 완성하면 되므로 꼭 치아 개수대로 심을 필요는 없습니다.
위와 같은 형태가 대표적인 ‘임플란트 브릿지’인데요. 치아 3개가 상실되었을 때, 2개만 심고 3개 치아 역할을 회복하는 모습입니다.
지금부터 치아 상실량에 따라 어떻게 브릿지 보철이 가능한지 설명해 드릴 예정이니, 비슷한 궁금증을 가지신 분이라면 끝까지 집중해서 읽어주세요.
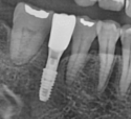
안산치과 – 치아가 1개 상실된 경우
상식적으로 생각해 본다면, 치아가 딱 하나만 상실된 경우라면, 당연히 1개만 심으면 됩니다.
작은어금니와 큰어금니 사이에, 큰어금니 하나가 상실되어 임플란트로 회복된 모습입니다.
1개 상실되었을 때 1개 심는 것 까진 쉬운데, 이제 치아 상실이 2개일 때부터 조금 다릅니다.
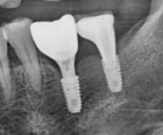
안산치과 – 치아가 2개 상실된 경우
위 사진의 경우, 큰 어금니 2개가 상실되어 임플란트도 2개를 심어 회복한 모습입니다.
하지만, 2개가 상실되었다고 해서 항상 임플란트 픽스처(나사)를 2개 심을 필요는 없는데요.
위 사진처럼 1개의 임플란트로 2개 치아 역할을 할 수 있습니다. 아래쪽 앞니의 모습인데요.
아래쪽 앞니는 우리의 치아들 중에서도, 폭이 가장 좁은 곳입니다. 그래서 치아가 2개가 빠져도, 2개를 심기 어려운 경우가 많아서.. 1개만 심고 위 사진처럼 보철을 추가하는 경우도 있습니다.
(물론 위 사례처럼, 중간에 자연치아가 남아있어 브릿지로 이을 수 없다면, 따로따로 심을 수밖에 없긴 합니다.)
구체적인 건 환자분의 씹는 힘 / 어느 위치인지 / 잇몸 상태는 어떤지 등에 의해 구체적인 수술 계획이 결정됩니다.
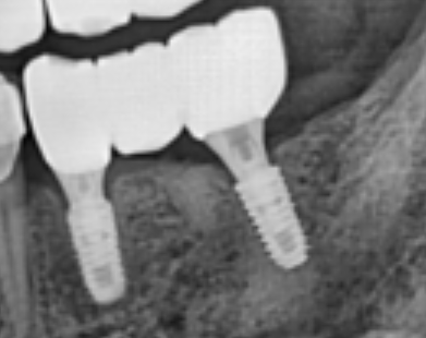
안산치과 – 치아가 3개 상실된 경우
위 사진은 어금니 부위에 2개만 심고, 치아 3개의 역할을 복구한 모습입니다. ^^
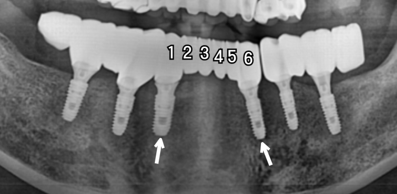
안산치과 – 치아가 6개 상실되었다면?
치아가 6개나 상실되었다면.. 아마 많은 걱정을 하실 텐데요. 그러나 이 경우에도 마찬가지로 ‘브릿지’ 형태를 활용하여 6개보다 더 적은 개수만 심는 경우가 많습니다.
예를 들어 전치부(앞니 2개와 송곳니 1개)는, 씹는 힘이 어금니만큼 강력하지 않습니다.
따라서 위 사진처럼, 픽스쳐는 2개만 심고 브릿지 형태로 치아 6개 역할을 할 수 있습니다.
만약 앞니가 아니라 어금니 쪽에 4 ~ 5개 이상 상실되었다면, 마찬가지로 위 사진처럼 브릿지 형태로 연결하여 임플란트 식립 개수를 줄일 수 있습니다.
이렇게 ‘치아 개수대로 임플란트 심을 필요는 없다’라는 부분을 여러분들께 설명드렸는데요.
비용적인 부분이 절감된다는 건 알겠으나, 아마 이런 걱정도 하실 겁니다.
“치아가 여러 개 빠졌는데.. 임플란트를 더 적게 심어도 지탱이 되나요?”
만약 잇몸이 너무 안 좋으셔서, 더 적은 임플란트 개수로는 지지가 안 된다는 판단이 든다면? 임플란트를 더 추가적으로 심을 수 있습니다.
하지만 잇몸뼈가 튼튼하여 적은 개수의 픽스쳐만으로 지탱이 가능하다면, 큰 문제는 없는데요.
정확한 진단은 치과에 내원하여 정밀 검진 뒤에, 주치의와 말씀 나눠보시면 더 이해가 잘 되실 겁니다.
지금까지 긴 글 읽어주셔서 감사합니다. 치의학 박사 장영준이었습니다. ^^

